티스토리 뷰
골다공증은 말 그대로 뼈 속에 구멍이 많이 생기는 증상을 말하며, 골다공증은 뼈의 양이 줄어들면서 뼈가 얇아지고 약해지는 질환을 말합니다. 뼈가 약해지면서 골절이 쉽게 생길 수 있습니다.
뼈의 골량은 35세 정도부터 서서히 줄어들다가 50세 전후에 폐경이 오면서부터 빠른 속도로 줄어듭니다. 폐경 후 3~5년 동안은 골밀도의 소실이 빠르게 일어나는 시기입니다.

골다공증 원인 8가지
골다공증 원인을 알아보겠습니다.

🟧 폐경
폐경이 오게 되면 골밀도를 유지해주는 에스트로겐이라는 물질이 감소되면서 골다공증이 생길 수 있습니다.
🟧 비타민D 결핍
비타민D는 신장에서 칼슘의 배출을 감소시키고 장에서 칼슘의 섭취를 증가시켜서 체내에 칼슘을 보존해주는 작용을 합니다. 그리고 뼈 분해를 막아서 골다공증을 예방해 줍니다.
하지만 나이가 들면서 피부, 간, 신장에서 만들어지는 활성 비타민D가 감소하게 되고, 일광 노출이 충분하지 않아 부족해지기 쉽습니다.
🟧 칼슘의 흡수 장애
장에서 발생한 만성적인 염증성 질환이나 위를 잘라내는 수술, 신경성 식욕 저하증 등으로 칼슘을 적게 섭취하거나 또는 흡수가 제대로 되지 않아 골다공증이 생길 수 있습니다.
🟧 운동부족
체중을 싣는 운동, 점프, 뛰기 등이 뼈의 건강에 좋으며, 어릴 때부터 활발히 뛰어놀았던 아이들이 나중에 골밀도가 높습니다.
🟧 약물의 영향
갑상선호르몬, 부신피질호르몬, 이뇨제, 항경련제 등의 치료제들은 골다공증을 일으킬 수 있습니다.
🟧 가족력
골다공증은 가족력이 있어서 부모나 자매가 골다공증일 경우에 골다공증 발병률이 높습니다.
🟧 과음
과다한 음주는 뼈를 형성하는데 부정적인 영향을 주며 골다공증 발병률이 높습니다.
🟧 우울증
우울증을 가지고 있는 여성은 뼈의 손실 속도가 빨라지는데 그 원인은 확실하지는 않습니다.
골다공증 수치
골밀도 검사를 통해서 확인되는 수치로 골다공증의 정도를 판단합니다.
| 티 수치 (T-scores) | 진 단 |
| -1 이상 | 정상 |
| -1 ~ -2.5 | 골감소증 |
| -2.5 이하 | 골다공증 |
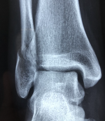
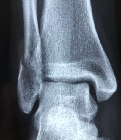
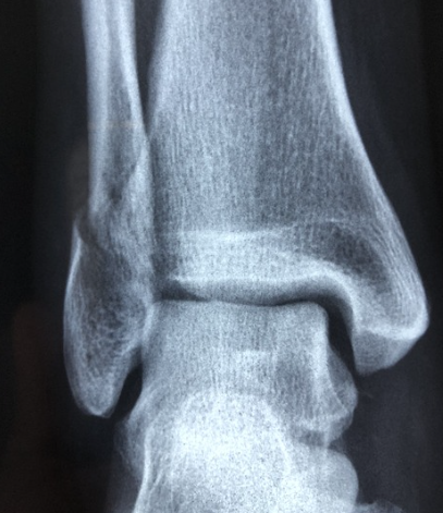
또한 엑스레이 검사를 통해서 골다공증으로 인한 압박 골절 등도 알 수 있습니다.
골다공증 증상 알아보기
골다공증 초기에는 특별한 증상이 나타나지 않습니다.
초기 증상으로는 척추뼈가 약해지면서 척추가 후만 변형되거나 압박되어 신장이 줄어들 수 있습니다.
심한 경우에는 척추가 체중을 지탱하지 못하여 충격 없이도 척추 앞부분이 일그러지기도 합니다.
골절의 확률이 높아집니다. 심한 경우 기침 등의 일상생활에서도 뼈가 쉽게 부러질 수 있습니다.
50대 ~70대 여성은 주로 손목 골절에서부터 먼저 발생하며, 70대에는 고관절이나 척추의 골절이 흔하게 발생합니다.


골다공증 치료방법
✔️ 일상생활에서의 골다공증 치료법은 두가지 입니다.
골 형성을 증가시키거나, 골 소실을 방지하여 현재의 골량을 유지하는 방법입니다.
식사할 때 뼈를 튼튼하게 하는 칼슘의 섭취에 신경을 써야 하고, 음식을 짜게 먹을 경우 나트륨과 함께 칼슘도 소변으로 빠져나가기 때문에 저염으로 식사를 해야 합니다.
카페인, 인스턴트 식품, 흰설탕 등의 가공식품의 섭취를 줄이며, 음주나 흡연은 매우 좋지 않습니다.
카페인을 많이 먹으면 소변과 대변으로 칼슘이 많이 배설됩니다.
1주에 2회 약 15분 정도 햇볕을 쬐어 뼈에 필요한 비타민D를 충분히 합성시켜야 합니다.
적절한 유산소 운동과 스트레칭, 제자리 뛰기 등의 운동을 하면서 골량을 유지하는 것이 좋습니다.
✔️ 약물 치료법 종류는 8가지가 있습니다.
01. 칼슘 제제 : 적절한 칼슘 섭취는 골량을 유지해 주고 골량의 소실을 지연시킵니다.
02. 비타민D : 장에서 칼슘의 섭취를 증가시키고 골량의 소실을 감소시킵니다.
03. 에스트로겐 : 폐경기 여성에게 급격한 골 손실을 줄일 수 있습니다. 하지만 장기간 복용할 경우에 유방이나 정맥혈전증, 뇌졸증 등이 발생할 가능성이 있으니 주의해야 합니다.
04. 골흡수억제제 : 골밀도를 증가시키고 골절의 가능성을 줄여줍니다.
05. 칼시토닌 : 골다공증에 사용하면 통증의 감소 효과가 있습니다.
06. 부갑상선호르몬 : 골량을 증가시킵니다.
07. 불화나트륨 : 골량을 정상 범위까지 증가시킬 수 있습니다.
08. 스트론튬 : 골 형성을 증가시키지만 골 흡수는 억제합니다.
골다공증에 좋은 음식과 운동으로 골밀도 증가시키기
골다공증을 진단 받았다면 칼슘과 비타민D의 적절한 섭취를 보장하는 것이 중요합니다. 이를 통해 뼈 건강을 유지하고 강화할 수 있습니다. 성인 남성과 여성 모두 하루에 1000mg 이상의 칼슘을
eun.justorycafe.com
함께 보면 좋은 글
오십견 치료방법, 오십견 치료 운동법
오십견은 의학 정식 명칭은 동결견이라고 합니다. 특별한 외상 없이 어깨에 통증이 생기고 그 통증으로 인해 어깨 움직임이 힘들고 어깨 동작의 제한이 생기는 질환입니다. 특히 50대 이후에 많
eun.justorycafe.com
손가락 마디 통증 원인 : 손가락 관절염, 방아쇠 수지 증후군
손가락은 가장 많이 사용하는 관절 중에 하나입니다. 잦은 사용으로 인해 쉽게 발생할 수 있는 손가락 관절의 통증의 원인은 외부충격이 될 수도 있고 퇴행성이나 류마티스가 원인이 될 수도 있
eun.justorycafe.com





